Let our dental implants bring back your natural smile, unlocking a world of renewed confidence and social freedom.
Pain-Free Implants in 15 mins *
High Success
Rate
Premium Quality at affordable cost

Warranty

Dental Implant









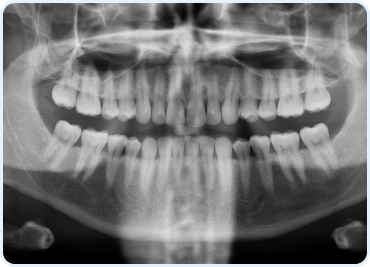
Radiaton

3D X-ray
Imaging
Diagnosis
Full Arch Perspective: The OPG technology delivers a full panoramic view of the oral cavity, revealing the teeth, jawbone, and sinus anatomy in a single image.
Automated Analysis: Features software that can automatically highlight and analyze areas of concern, such as potential bone loss or the presence of foreign objects.
3D Reconstruction Capability: Some OPG systems offer 3D reconstruction options for a multi-dimensional view of the oral anatomy, which is crucial for complex implant procedures.













My 15-year journey in orthodontics has been fueled by a deep commitment to my craft and a strong dedication to my patients. I’ve passionately combined advanced techniques with personalized care, transforming smiles and ensuring each patient experiences exceptional dental treatment and care.
Our dentistry experts carry 50+ years of combined experience. Dr. Khushboo, Dr. Mridul, Dr Himanshu Dadlani, and Dr. Aval, shape a legacy of transformative care.
Our team’s dedication to excellence and patient well-being has rejuvenated countless smiles, making each patient a cherished part of our family. Experience compassionate, and expert dental care that turns your smile into a story of beauty and confidence.
Dr. Himanshu Dadlani is an accomplished Periodontics Senior Consultant with a rich 12-year career in both surgical…
Dr. Mridul Seth, a distinguished Senior Consultant in Oral and Maxillofacial Surgery with over 28 years of experience…
Dr. Khushboo, a highly skilled endodontist with a BDS from Govt Dental College, Mumbai, and an MDS from Gitam University.
Dr. Himanshu Dadlani is an accomplished Periodontics Senior Consultant with a rich 12-year career in both surgical…
Lorem ipsum dolor sit amet. Sed autem tempore a sint officiis aut minima.

Utilizing advanced techniques to minimize discomfort during dental procedures.

Led by Dr. Aval Luthra, a highly skilled Oral Implantologist with over a decade of experience.

Specialized in providing top-quality dental implants, ensuring durable and natural-looking results.

Utilizing the latest dental technologies for precise and effective treatments.

Expertise in comprehensive dental restoration for those needing extensive oral care.

Adhering to strict hygiene protocols to ensure patient safety, is especially important in the current COVID-19 context.





₹45,000
onwards

₹200,000
per arch

₹300,000
onwards

₹20,000
per side

















*Quick 15-mins treatment mostly for simple procedures but complicated procedures may take additional time
Copyright © 2024 Dental Arche